肺结节患者应该选择哪种CT,看明白不花冤枉钱
肺结节患者应该选择哪种CT,看明白不花冤枉钱
经常有患者问我应该选择哪种CT,我会根据肺结节发展情况给予推荐,既满足需要,又不多花钱。下面我做个汇总,希望对您有帮助。

一、如果是普通体检,可以选择常规CT平扫或低剂量螺旋CT平扫。
CT平扫又称普通扫描,通常用于初次CT检查者,肺部检查能清晰显示肺细小纹理。不适宜人群:对碘过敏、心衰的患者。价格一般在200元左右。
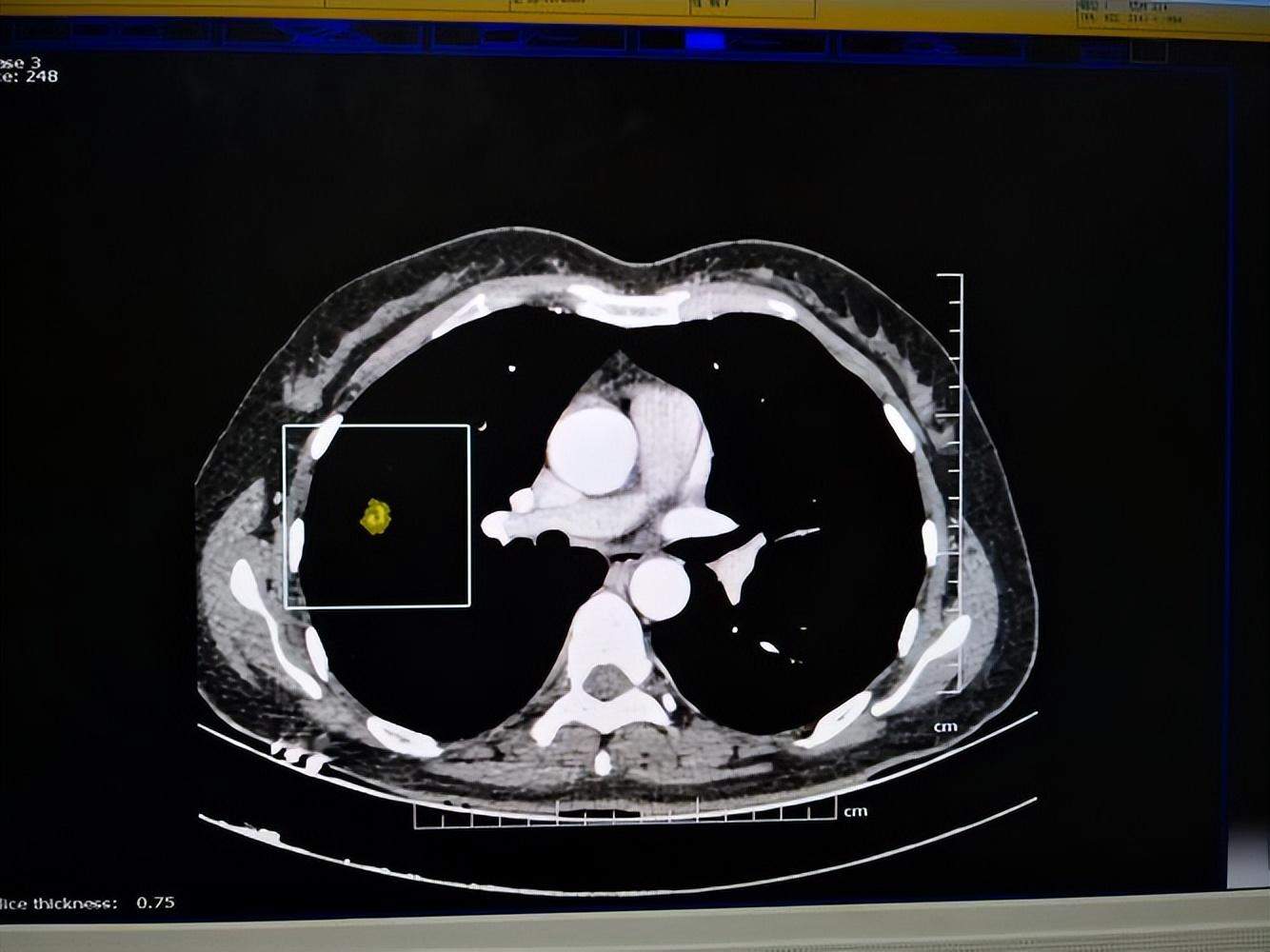
低剂量螺旋CT是用最小的扫描范围,最低剂量,最少的X线量,对病变作出诊断。因为螺旋CT,常规一次扫描辐射量大概是3-5mSv,低剂量大概是1mSv,辐射量可以缩小2/3,对病变的检查也可以作出准确的诊断。相比传统的常规CT检查,一个是剂量小,使病人受到辐射小,对微小结节也能够清楚地显示。如果是在正规公立医院做检查,价格一般在300元左右。

低剂量螺旋CT影像
二、如果CT提示有肺结节,定期复查建议采用薄层CT。
薄层CT是重建方式,不是扫描方式。平时扫描用5mm层厚扫描,很微小病灶、<5mm病灶、小结节、一个肿瘤或者小腔隙性梗死,5mm层厚时看不见。利用重建技术切薄,如西瓜一样切成薄片,5mm切成2.5mm、1.25mm、甚至0.625mm。微小结节或者微小结节病变中细节问题,如边缘、密度、与周围关系、有没有脂肪密度、有没有钙化影子等,可以看得非常清楚。价格一般在500元左右。

薄层CT影像
三、如果肺结节有可疑变化,怀疑是恶性,或者手术前需要明确肿瘤位定位,建议采用三维重建CT平扫。
CT平扫+三维重建是在影像学检查技术螺旋CT扫描的基础上,通过计算机将扫描采集到的图像、数据进行重建,从而产生直观、立体、高质量的三维图像。该技术的优点在于扫描速度快、时间短、图像清晰且立体。将三维重建引入临床的辅助诊断、治疗,检查结果从平面转为立体化,可以提高诊断准确性和效率。如果需要手术,也是用这种技术明确肿瘤位置。价格一般在800-1000元。

三维重建CT平扫影像
有肺结节相关问题,可以留言咨询,有报告单的尽量发一下。
-
- 百香果怎么吃 百香果的正确吃 百香果吃法
-
2024-03-01 11:07:42
-
- 霜降摘柿子吗 霜降前摘柿子还是霜降后摘柿子
-
2024-03-01 11:05:27
-
- 视频转音频软件有哪些 视频转换成音频软件
-
2024-03-01 11:03:12
-
- 连续咳嗽几天怎么办小妙招 连续咳嗽几天怎么办吃什么药
-
2024-03-01 11:00:58
-
- 二建必须毕业两年后才能报考吗? 条件是什么?
-
2024-03-01 10:58:43
-
- 底层逻辑之理解What、Why、How,才能知行合一
-
2024-03-01 10:56:28
-
- 头痛脖颈也痛的原因 头疼为什么连带脖子也会疼
-
2024-03-01 10:54:14
-
- 霜降属于深秋还是初冬 霜降算深秋还是冬天?
-
2024-03-01 10:51:59
-
- 十月天蝎座恋情星座运势:热情与忠诚
-
2024-03-01 10:49:44
-
- 矿物盐的功效与作用点 矿物盐有什么用
-
2024-03-01 10:47:30
-
- 750金饰品会掉色吗 750是什么金掉色吗
-
2024-03-01 10:20:35
-
- 5g什么时候能够普及使用[民用5g什么时候能够普及]
-
2024-03-01 10:18:30
-
- 怎样能让裤子不粘毛[如何能让裤子不粘毛]
-
2024-03-01 10:16:25
-
- 新鲜带鱼放冰箱怎么保鲜[新鲜带鱼放冰箱怎么保鲜好]
-
2024-03-01 10:14:20
-
- 消毒酒精勾兑比例是多少 酒精消毒水如何勾兑
-
2024-03-01 10:12:15
-
- 铁木砧板第一次用怎么处理 知乎 铁木砧板第一次用怎么处理干净
-
2024-03-01 10:10:11
-
- 铁锅除锈的办法 锅怎样除铁锈简单的方法
-
2024-03-01 10:08:06
-
- 特仑苏牛奶能直接放微波炉加热吗 特仑苏纯牛奶可以在微波炉加热吗
-
2024-03-01 10:06:01
-
- 太阳能发电原理及工作过程[太阳能发电板对人体有辐射吗]
-
2024-03-01 10:03:56
-
- 塑料制品有保质期吗为什么 塑料制品保质期限
-
2024-03-01 10:01:51



七夕的唯美句子,七夕节西餐厅的诗句唯美句子?
吃山竹有什么好处,山竹对女性有什么好处