做满口牙多少钱(常见的全口活动假牙的种类及价格)
做满口牙多少钱(常见的全口活动假牙的种类及价格)
随着种植牙技术的普及,不少市民选择种植牙进行修复缺失牙。然而,对于牙槽骨条件差、患有三高(高血糖、高血压、高血脂)及其他身体情况不符合种牙的全口缺牙人群,不得不通过佩戴活动假牙来恢复咀嚼功能,那么做全口活动假牙,那该怎样选择种类和材质呢?

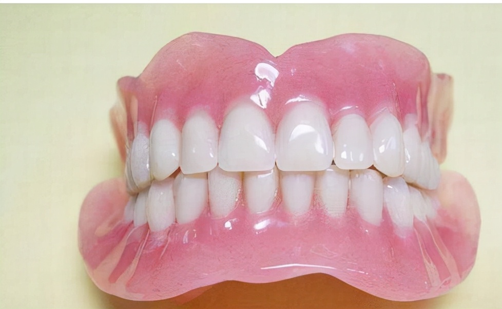
什么是全口活动义齿(假牙)?
全口假牙是由基托和人工牙两部分组成,靠义齿基托和黏膜紧密贴合及边缘封闭产生的吸附力和大气压力固位,吸附在上下牙槽嵴上,以恢复缺牙者的咀嚼功能和面部美观。
全口义齿制作流程一般为取印模——确定咬合关系——技工排牙——试戴——多次调整这几个流程,一般周期为2个月左右。
全口义齿材料都有哪些?
因制作材料有所不同,全口活动义齿(假牙)材料分为树脂塑料胶托和金属托。
树脂塑料胶托:是由牙拖水和牙托粉构成,牙托水主要成分是甲基丙烯酸甲酯,牙托粉是甲基丙烯酸甲酯的均聚粉或共聚粉。优点是价格实惠,缺点是强度一般,容易摔碎,通常做的很厚,异物感强。
价格参考:3000左右,由于地域和机构存在一定的差异。

金属托:上腭部分为一块薄薄的金属板,常用金属材料有纯钛、钛合金、钴铬合金、镍铬合金。
纯钛金属具有良好的稳定性,不造成味觉干扰,钛金属是非顺磁性金属,在做磁共振检查时,产生的伪影极小,钛对X线具有半透射性,在照X光时,可以检查到牙冠内部有无龋齿,这是其他金属材料所不具备的。
价格参考:传统活动义齿全口修复价格大约1.2-2.5万元间(视地区和材料而定)
什么是吸附性义齿?
传统活动义齿有厚重、舒适度低、易脱落、美观度较差等缺点,且咀嚼功能不及真牙的20%,未能真正解决无牙颌患者的需求——美观、稳定、咀嚼。
随着口腔科技的不断发展,基于生物功能性修复系统,结合数字化精密设计,采用进口材料制作而成的吸附性义齿,外观仿真度极高,与口腔完全稳固贴合,即使在日常说话、打喷嚏、咳嗽、吃饭都不易脱落。

吸附性义齿6大优势
美观自然:相较于拥有基托、卡环等金属物质的普通活动义齿,吸附性义齿的外观设计是为患者量齿定制的,逼真程度和天然牙相似,因此它极具美学效果,较其他活动义齿美观自然。稳固性:吸附性义齿,具有良好的边缘封闭和吸附力。传统义齿在牙槽嵴吸收比较低平的时候很难获得稳定性,所以患者摘戴全口义齿的时候会觉得非常松动、容易脱落,比如大笑的时候或是打一个喷嚏的时候,传统的全口义齿就会掉下来,而超强吸附性义齿是利用移动性的黏膜来封闭边缘,因此,吸附力较好,能够极大满足固位力。

(3)异物感较小:吸附性义齿的基托范围相对于传统义齿小一些,因此患者的异物感会减轻很多,患者戴起来会比较舒服。
(4)恢复咀嚼功能:吸附性义齿的吸附力比较好,能获得比较好的咀嚼方面的功能,所以患者会觉得吸附性义齿比传统义齿的咀嚼效率提高很多,因为传统义齿只能恢复天然牙列大概30%的咀嚼效率,但吸附性义齿在这方面能够解决大部分的问题。

健康舒适:吸附性义齿是根据患者自身牙槽骨条件,从力学、牙合学等全方位设计,为患者量身定制,继而通过运用精湛技术和专业材料制作而成,因此较普通活动义齿更舒适、健康,不易损伤口腔黏膜软组织等。

调改次数减少:在制作技术方面,传统全口义齿往往需要多次调改,而吸附性义齿一般在患者初次佩戴时满意率较高,修改次数减少甚至不用调改,这也很大程度上提高了患者的舒适度。

总之,全口缺失后的义齿修复:吸附性义齿>覆盖全口义齿>金属托>树脂胶托,收费价格依次降低。活动义齿价格从3000-几万都有,缺牙者可根据自己经济条件选择的材料种类。
-
- 脚痛 不同位置的脚疼,可能与不同的疾病相关,要及时治疗
-
2023-12-18 10:06:08
-
- 电脑技巧小妙招(大神推荐!这七个电脑实用技巧小妙招,让你电脑用起来更加流
-
2023-12-18 06:53:55
-
- 微信如何升级 微信再次升级更新,新增3个超实用功能
-
2023-12-18 06:51:40
-
- 山色远含空苍茫全诗 一天一首古诗词 | 唐诗,张祜《题松汀驿》
-
2023-12-18 06:49:25
-
- 蓝牙耳机怎么恢复双耳模式步骤(解密:苹果AirPods怎样重新定义蓝牙耳机?)
-
2023-12-18 06:47:11
-
- 科技布沙发优缺点是什么(科技布沙发究竟是何方神圣?作为第一批用户,谈谈我
-
2023-12-18 06:44:56
-
- 花中第一流指的是什么花(“花中第一流”真的是指桂花吗?连诗词大会的亚军都
-
2023-12-18 06:42:41
-
- 学习态度不端正怎么引导(初中孩子还没有端正学习态度,大人怎么劝导才能有效
-
2023-12-18 06:40:27
-
- 辛弃疾是哪个朝代的?辛弃疾是什么派的词人?
-
2023-12-18 06:38:12
-
- 头痛吃什么药(头痛,只会用布洛芬?看看这些方案)
-
2023-12-18 06:35:57
-
- 头发掉得厉害怎么办有办法补救(想缓解掉发?不妨试试这七招)
-
2023-12-18 06:33:42
-
- 跳绳减肥的正确方法一天跳多少能达到效果(跳绳减肥的正确方法和技巧来了,每
-
2023-12-18 06:30:40
-
- 泰坦尼克号穿帮镜头集锦(《泰坦尼克号》的10个穿帮镜头,只有真正的粉丝才能
-
2023-12-18 06:28:26
-
- 手足口病多久可以痊愈 得了手足口病怎么办?
-
2023-12-18 06:26:11
-
- 萨克斯指法表入门教程(一张图,教你在初学阶段快速掌握萨克斯指法)
-
2023-12-18 06:23:56
-
- 如何判断小乌龟多少岁 ?4个方法来鉴定龟的年龄
-
2023-12-18 06:21:42
-
- 容积率越大越好还是越小越好 多少才合理?(容积率过高对居住有何影响?)
-
2023-12-18 06:19:27
-
- 冬瓜子的功效 冬瓜子润肺,化痰,消痈,利水
-
2023-12-18 06:17:12
-
- 遇人不淑怎么办处理方式(男女交往,“遇人不淑”时,最好的处理方式是这样)
-
2023-12-18 06:14:58
-
- 小学六年级日常日记 六年级日记200字
-
2023-12-18 06:12:43



七夕的唯美句子,七夕节西餐厅的诗句唯美句子?
吃山竹有什么好处,山竹对女性有什么好处