智齿有必要拔吗 什么样的智齿不需要拔
智齿有必要拔吗 什么样的智齿不需要拔
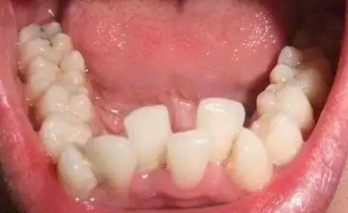
智齿是非常折磨人的一颗牙齿,经常在高中生大学生等人群中出现,这个年龄段刚好是智齿长出来的年龄段,许多人被智齿折磨得死去活来,所以非常多的人选择拔掉智齿,有些智齿还未发炎的朋友在考虑应不应该拔掉智齿,今天小编给大家带来了不需要拔的智齿图片,为您解开这个疑惑。
智齿应不应该拔掉

许多朋友到了长智齿的年龄,但是还没有遇到智齿发炎等情况,所以在考虑要不要先将智齿拔掉,避免一些疼痛发生,您可以对照这几张不需要拔的智齿图片来看看您是否有此情况,再由小编为您解答哪些情况不用拔智齿,看完您就知道您的智齿应不应该拔了。
可以不拔的智齿
一、智齿形状正常,不是阻生牙

这种智齿形状看起来和其他牙齿没什么区别,与旁边的牙齿连接得比较正常,不会发生磨损等情况,不会损害到牙龈,并且可以正常进行咀嚼,那么这种智齿就跟普通的牙齿一样,对人口腔没有太大影响,是不需要拔的,大家可以放心进行饮食,不必担心智齿问题。
二、智齿形状正常,是阻生牙

这种智齿的形状看起来也很正常,与其他牙齿没什么区别,但是这种智齿会影响到其他的牙齿甚至是神经,那么这种智齿就需要去医院进行手术牵引,把这颗牙齿牵引到正常的位置,使其不会出现口腔问题,这种也是不用拔除的,只需要进行牵引即可。
有些朋友的智齿已经拔除了,担心拔了智齿会有一些后遗症,又看见网上有人说拔了智齿非常后悔,于是更加忐忑不安,拔了智齿真的会后悔吗,就让小编来告诉你。
拔了智齿后悔终身

实际上就算智齿没有发炎,把它拔了之后只要注意饮食和口腔卫生,其实也不会有太大影响。如果牙齿没有发炎其实是不建议做拔智齿手术的,有些智齿生长会非常健康,可能一辈子也不会发炎,也不会引起口腔问题,所以没有发炎的智齿是可以不拔的……
-
- 卓依婷是不是真的死了 卓依婷为什么不红
-
2023-11-16 14:35:39
-
- 徽商香烟多少钱一包,石斛爆珠100元一包(徽商新概念40元一包)
-
2023-11-16 14:33:24
-
- porsche是什么牌子的车 保时捷最便宜的车是哪款车?
-
2023-11-16 14:31:09
-
- 桃花源其实是墓地吗? 刘子骥去后不久就死亡了?
-
2023-11-16 14:28:55
-
- 天蝎男吊着你的表现 不要把暧昧当成了他的喜欢
-
2023-11-16 14:26:40
-
- 十七爷和甄嬛睡了几次 怀上的龙凤胎
-
2023-11-16 14:24:25
-
- 春秋五霸与战国七雄分别是谁,楚秦齐在春秋战国时期都是霸主
-
2023-11-15 23:14:13
-
- 北京灵异事件公交车375真的吗 相信科学不轻易信谣言
-
2023-11-15 23:11:58
-
- 中了500万多久到账,最多不超过三天(兑奖前需要注意一些事情)
-
2023-11-15 23:09:44
-
- 唐代七绝圣手是谁,著名的边塞诗人王昌龄
-
2023-11-15 23:07:29
-
- 三英战吕布谁赢了,小说中这一点描写可以看出是刘关张赢了
-
2023-11-15 23:05:14
-
- 贺知章最著名的十首诗,回乡偶书道尽物是人非岁月变迁之境
-
2023-11-15 23:03:00
-
- 湾鳄是世界上最大的鳄鱼吗? 鳄鱼排行榜
-
2023-11-15 23:00:45
-
- 人死后有灵魂吗 是附在人体身上看不见的物质
-
2023-11-15 22:58:31
-
- 历史上谁能单挑项羽,吕布典韦李存孝可以一试(胜负难料)
-
2023-11-15 22:56:16
-
- 高力士是什么人 千古贤宦第一人
-
2023-11-15 22:54:01
-
- 权相佑图片帅气图片 征服万千师奶与少女
-
2023-11-15 16:10:54
-
- 朋友圈的精辟霸气短句 气质个性文案
-
2023-11-15 16:08:39
-
- 故宫晚上闹鬼吗? 网友们怎么说
-
2023-11-15 16:06:24
-
- 明朝最烂的一个皇帝,朱祁镇(明朝走向覆灭的罪魁祸首)
-
2023-11-15 16:04:10



比尔盖茨的父母
快递员上班时间几点点到几点