蛀牙进程图鉴!“蛀牙”不修理,疼你没商量
蛀牙进程图鉴!“蛀牙”不修理,疼你没商量
“龋齿”,俗称蛀牙
是继癌症、心血管疾病之后
被世界卫生组织列为
世界三大非传染性慢性病之一
发生率非常高

龋病发展到后期
能让你体会到钻心的痛!
“牙疼不是病,疼起来要人命”
PART
01
蛀牙是因为有虫子吗?

PART
02
蛀牙“进度条”图鉴

大家好!我们是白白的牙齿,我们不喜欢甜食,零食,如果不好好保护我们,我们将会一步步走向毁灭。



当我们身上有小黑点时,
龋病已经开始 ,
需要做充填治疗。



当您吃糖时感觉酸疼,
这时病变已经破坏到牙本质浅层,
需要做充填治疗。



这时候牙齿有较深的龋洞,
进食时没法咬食物,
及时做充填治疗的话还来得及保住牙髓。


当您昨晚牙齿疼得一夜未眠,
这时候病变侵入牙髓组织,
起剧烈疼痛。
此时,开髓引流是缓解急性牙髓炎疼痛
最有效的方法。



当您脸肿得睁不开眼睛时,
牙齿急性根尖周炎感染
可能引起间隙感染,严重的会危及生命。
此时,需要到正规口腔医院治疗患牙,
配合药物治疗,
必要时做脓肿切开引流术。


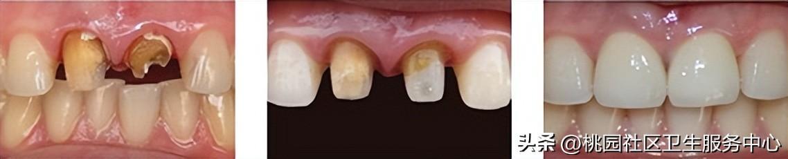
当牙齿只剩下少量牙冠时,
就目前医疗技术而言,
做根管治疗后桩冠修复
可以很好地保存残冠残根。



“蛀牙”一直不管,久了就真的再也不痛了,只剩下了残根,这时候牙医只能将其拔除。


你以为拔掉就完事了吗 ?
错错错!!!
拔牙三月后,还要再将拔掉的牙齿给镶上。
如果不镶牙,那么其他牙齿的危险之旅也就要开始了…

早知今日,何必当初?
爱惜牙齿,早早做起!
或者给牙齿穿上“雨衣”,
防止外界侵害!
来源:郑州大学附属郑州中心医院,科普中国
版权归原作者所有,如有侵权请及时联系,我们将立刻删除,谢谢
-
- 二战史:只撑了18天,德国闪击波兰全程回顾
-
2025-02-15 00:07:22
-
- 这11种含蛋白的蔬菜,适合喜欢健身,又喜欢吃素的小伙伴们收藏
-
2025-02-15 00:05:27
-
- 唐山地震阴兵借道事件真相:1976年解放军遭遇阴兵过路
-
2025-02-15 00:05:07
-
- 防弹少年团BTS:顶尖的组合和流行乐坛的王子
-
2025-02-15 00:03:12
-
- 抗美援朝云山战役-重创美军王牌师
-
2025-02-15 00:02:52
-
- 兵法谋略的运用是个技术活,只有牢记这个口诀,才能所向披靡!
-
2025-02-15 00:00:57
-
- 社区戒毒人员坐飞机和高铁时,如何避免尿液毛发测毒的尴尬
-
2025-02-14 23:58:42
-
- 霹雳布袋戏角色人物志之神毓逍遥玉逍遥
-
2025-02-14 23:56:27
-
- 那些年315被央视点名的倒霉蛋盘点
-
2025-02-14 23:54:12
-
- 杨振宁正式度过100岁生日!46岁翁帆显富态,两人恩爱18年如一日
-
2025-02-14 16:51:35
-
- 燃烧生命的直播:20岁王者荣耀主播熬夜猝死
-
2025-02-14 16:49:20
-
- 你了解防水插座原理吗?知道防水插座箱是什么吗?
-
2025-02-14 16:47:05
-
- 揭秘克尔白-了解天房2
-
2025-02-14 16:44:51
-
- 导演透露,《蝴蝶效应》的几个结局解释
-
2025-02-14 16:42:35
-
- 23岁没学历,没技能,又不想进厂,很迷茫,怎么才能走出困境?
-
2025-02-14 16:40:20
-
- 中国GDP排名揭秘!成都居第七,温州争前30
-
2025-02-14 16:38:05
-
- 掌握情绪管理的十个技巧:让你成为情绪高手
-
2025-02-14 16:35:50
-
- 第八届沈阳奥体城市冰雪嘉年华开幕啦!快来体验别样的冰雪魅力
-
2025-02-14 16:33:35
-
- 宝宝舌系带过短的判断与处理方法
-
2025-02-14 16:31:20
-
- 史记简介
-
2025-02-14 09:23:34



黄宏自曝“被免职”真相:年纪大熬不住,离职退休
ipx7防水级别对照表